MARAVILLOSOS  APORTES REALES.
PARTE 1: 
El médium Lynns forma ectoplasmas y aportes.
El médium Lynns forma ectoplasmas y aportes.
A continuación se muestran las formas más extrañas
ectoplasmáticas que alguna vez fueron fotografiadas.
Originalmente queríamos escribir acerca de los efectos del médium en la transferencia, pero vamos hacer un enfoque principal y más interesante hacia los aportes.
Originalmente queríamos escribir acerca de los efectos del médium en la transferencia, pero vamos hacer un enfoque principal y más interesante hacia los aportes.
Los aportes son a menudo de pequeño tamaño y eso levanta
sospechas a algunas personas. Pero con los años nos enfrentamos a aportes
acompañados de coincidencias sorprendentes, que son  difícilmente entendidos  si no se consideran auténticos.
Pero esto, por supuesto, cada uno tendrá su propia opinión.
Motivados para hacer un artículo rico en ilustraciones de
los acontecimientos de fuertes aportes e interesantes dentro de la obra
mediumnica del Círculo Félix en los últimos diez años como la siguiente parte
de “Maravillosos aportes reales”, comenzamos con una secuencia de fotografías
con un médium del cual no sabemos demasiado todavía. Además de que él es de
Newbiggin (UK), un minero, de 1936, la investigación por parte del Mayor
Mowbray y el parapsicólogo Hewatt MecKenzie.
Después de que el comandante hubiera desnudado al médium
“Lynn” en las sesiones, se hicieron increíbles fotografías, se le colocó un traje
para evitar fraude y además se le metió en un saco, sellado en el cuello y
amarrado con fuerza. Entonces los dos entraron en una habitación donde estaba
esperando el “círculo” con el investigador Mowbray y su ayudante (McKenzie) que
constaba de 6 personas que se sentaban frente al gabinete, en la que fue puesta
la silla del médium.
El gabinete estaba previamente bien colocado para los
asistentes y el médium se dejó colocar allí, con una pequeña mesa delante de
las ranuras de las cortinas. La sesión mediúmnica se realizó en condiciones de
iluminación relativa, “una pequeña lámpara de aceite” iluminó la habitación con
luz blanca. Morbray escribe que a nadie de su círculo se le permitió acercarse
a Lynn, sólo Morbray y su asistente que colocó la mesa y la cortina. Sobre la
mesa descansaba una placa de metal.
Morbray escribe que el médium entró en “profundo trance” y
que la mesa después de unos “cuantos golpes en la bandeja” empezó a moverse por
la habitación.
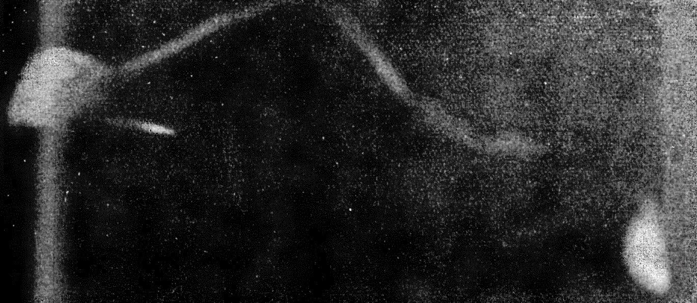
Foto 2. Ampliación de la varilla.
Cuando la mesa comenzó a moverse, el investigador Morbray se
levantó y comprobó que no había cuerdas o hilos conectados a la mesa aunque
parecía no ser así. Luego puso una cítara (instrumento de cuerda alemán) sobre
la mesa, delante de las ranuras de la cortina y otra vez, al igual que en las
otras ocasiones, la cítara empezó a “jugar”, raspar, golpear, de nuevo por una
varilla ectoplasmática, también fotografiada.
Morbray dice que para el ojo humano, el agente
ectoplasmático era invisible, y sólo aparecía en la fotografía. Afirmó estar
incluso  con la mano puesta por encima de
las cuerdas de la cítara y sentir una brisa de aire que circulaba por allí. El
extraño anillo en la nariz era un objeto que se encontraba en la nariz de los
médiums y lo que aparentemente cuelga de él, era algo inexplicable para los
investigadores. Morbray siempre intentó más cosas, “cuando la barra estaba
golpeando la bandeja, puse mi mano al lado para frenarla con los dedos, pero
siempre evitaba tocar mi mano. Fue como si tuviera ojos y evitara chocar con mi
mano.”
Tal comportamiento paranormal es muy conocido dentro de  la investigación paranormal, cuando los fenómenos
no ocurren absolutamente en determinadas condiciones de observación.
Foto 3. El médium Lynn detrás de las cortinas y la varilla
ectoplasmática golpeando la cítara.
Foto 5. El médium Lynn 
durante el episodio de la cítara, con un extraño pendiente en la nariz
con algo aparentemente colgando de él. Los investigadores no podían explicar lo
que vieron y consideraron que sería una extraña forma de “transfiguración” del
médium de alguna forma desconocida.
Entonces por lo general el proceso de aportes comenzaba,
después del que el “médium entrar en un trance más profundo”, como escribe
Morbray. Lo que esto quería decir no lo revela en su informe. Morbray describe
a continuación las incidencias con los aportes, en los que los objetos, a veces
hasta dos docenas aparecían y caían sobre la bandeja como “cucharillas,
cuchillos, anillas de cortinas (no del gabinete), anzuelos, etc.
Foto 6. Otra barra ectoplasmática golpeando la mesa.
Foto 7. Ampliación de la extraña barra.
Cuando los procesos de aportes reales comenzaban la luz de
los asistentes era bajada y los objetos se escuchaban caer principalmente sobre
la bandeja, muchas veces las cámaras revelaban detalles llamativos.
Fotografiando con una lente o una lente de cuarzo para que las cosas fueran
visibles.
Foto 8. Un objeto es aportado, un collar. Antes de que
llegue cayera, la cámara captó de alguna manera el collar erigido por encima de
la bandeja de metal, aparentemente suspendido en el aire por la nada…
Foto 10. Aporte de una pulsera, todavía por encima de la
bandeja, también suspendido allí arriba de alguna manera.
Foto 11. Curiosamente vemos de nuevo aquí el objeto que
podría haber sido pegado previamente en el interior de la nariz del médium
(véase más arriba, el médium con el objeto similar a un anillo en la nariz)
¿Por qué se hace visible aquí?, no sabemos.
De hecho, las cámaras podrían haber captado una y otra vez
el momento real de la materialización que es parte de todo el proceso del
aporte, a pesar de que el término “materialización” se considera para otra cosa
que no es un aporte. La materialización es en sí misma la creación de la
materia de la nada, por otra parte, un aporte es el transporte paranormal de
objetos existentes de un lugar a otro. Pero, sin embargo, incluso el objeto que
aporta tiene que llegar al interior de la sala a donde es aportado, así que
parece ser una materialización de algún tipo también en este proceso… El
siguiente incidente mostrado en la fotografía a través de un lente de cuarzo
donde se adelanta en contenido adicional, como ya sabemos del caso de “Margery”
donde las lentes de cuarzo revelaron las cosas antes de ser vistas.
Foto 12. Esta foto muestra el aporte de una cucharita, otra
vez siendo suspendida en el aire.
Foto 13. La ampliación revela un extraño objeto alargado y
no está claro, si la cucharilla en realidad se ve de esa manera o si se trata
de una forma de perturbación espacial causado por la cucharilla que aparece
extrañamente deformada en las fotografías.
Foto 14. El misterio aumenta si nos fijamos en lo que la
lente de cuarzo capturó y es nuevo, es algo totalmente diferente.
Foto 15. Un extraño voladizo con un dispositivo que se hace
visible, la cucharilla cae encima de la mesa. Esto por supuesto es interesante
porque en esa época, Crawford estaba desarrollando su teoría de las barras
psíquicas como voladizos en sus tres libros sobre los experimentos en el
Círculo Goligher. ¿El médium había oído hablar de esto o fueron sus poderes
sobrenaturales quienes desencadenaron el proceso descrito por Crawford?
Foto 17. La ampliación de la foto anterior.
Así que a partir del material fotográfico “Lynn” debe ser
contado como el médiums capaz de producir interesantes ectoplasmas. La mayor
parte de él fue escrito en periódicos ya no disponibles en Inglaterra ni en
Alemana, (como el "Zeitschrift für Forschung MetaPsychichische ')
Manténgase en sintonía para la segunda parte de las
maravillosos aportes reales y materializaciones por el Círculo Félix y su
médium. Caligrafías de fallecidos, materializaciones en manos desnudas y muchos
más aportes de agua, y entonces estará al tanto de los artículos.
Stay Tuned
KM.
Buenas noches.
Artículo original en inglés










